נער בן 16 מאושפז במצב קשה, על פי החשד לאחר שימוש בסיגריות אלקטרוניות
נער בן 16 מאושפז במרכז שניידר לרפואת ילדים, כשהוא מחובר למכונת אקמו המדמה את פעילות הלב והריאות. אמו מבקשת מההורים למנוע מילדיהם שימוש בסיגריות אלקטרוניות
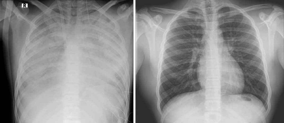
נער בן 16 מאושפז במרכז שניידר במצב קשה עם קריסה של הריאות לאחר שימוש בסיגריות אלקטרוניות. הנער הובהל ליחידה לטיפול נמרץ לב, שם הוא מאושפז בהכרה ומחובר למערכת האקמו, המחליפה את פעילות הלב והריאות - כך מפרסמים הבוקר כתבי אתר ויינט, רענן בן צור וגד ליאור.
אמו של הנער מסרה כי היא מבקשת להתפלל לשלומו ומייחלת לכך שיתאושש ויחזור לעצמו. היא ביקשה מכל ההורים להיות עירניים לנושא ולאסור על ילדיהם להשתמש בסיגריות אלקטרוניות, כדי שלא להגיע למצב הנוראי בו הם נמצאים כרגע.
הנער הועבר למרכז שניידר מבית החולים קפלן, לאחר שריאותיו קרסו. מבירור רפואי מקיף שערכו בבית החולים קפלן עלה כי מצבו הידרדר כתוצאה מעישון של סיגריות אלקטרוניות.
אנו מכבדים זכויות יוצרים ועושים מאמץ לאתר את בעלי הזכויות בצילומים המגיעים לידינו. אם זיהיתים בפרסומינו צילום שיש לכם זכויות בו, אתם רשאים לפנות אלינו ולבקש לחדול מהשימוש באמצעות כתובת המייל:[email protected]
